Calculus bridges happen when that pesky plaque buildup hardens, forming a “bridge” between teeth. Also known as tartar, calculus on teeth usually happens after improper or irregular teeth cleaning. While plaque might not seem like a big deal, tartar buildup can lead to major oral health concerns.
Here at Smiley Dental, we are committed to your oral health. If you feel like tough or irregular layers are forming on your teeth, give us a call. Our dentists and hygienists have years of experience treating unique tartar issues, from mild cases to serious calculus bridges. We have several convenient locations across Texas including Dallas, Texarkana, Corpus Christi, Greenville, and San Antonio.
Call today to schedule your appointment with one of our dental specialists and let’s tackle your calculus bridge concerns! And if you’re wondering how calculus forms on teeth, you’re in the right place.
What is Plaque?
Ever felt a thin layer of sticky substance on your teeth, especially after you eat? Well, that’s called plaque. It’s a buildup of germs, food debris, saliva, and everything else you put in your mouth all mixed together. All these molecules bond to form an organic layer over your teeth, especially in those hard-to-reach areas.
Plaque forms due to the nature of saliva and protein molecules. Substances within your saliva help break down food before it travels into your digestive system. However, those same beneficial acids that break down food also bond food particles to your teeth.
Plaque problems will get worse until you do something about it. Once a plaque layer forms, different types of bacteria start to reproduce on the surface of your teeth. Better to get a cleaning with Smiley Dental as soon as you notice any buildup.
What Is Tartar?
Calculus is also known by another name: tartar. But what is tartar and what is calculus on teeth?
Tartar is dental plaque that has built up a hardened coating over your teeth. While plaque alone can be removed with routine cleaning and dental visits, tartar is much harder to eliminate. Once plaque hardens, the complex proteins bond with the surface enamel of your teeth. Removing those bonds is very difficult, even with modern electric toothbrushes.
Calculus is the medical term for calcified tartar. You may hear your Smiley dentist talk about calculus teeth with his team then turn around and talk about tartar with you. Don’t worry, they’re essentially the same thing.
Forcefully removing calculus yourself (or at least trying to) can damage your enamel and even chip your teeth. Only a dental hygienist or dentist can attempt to get rid of tartar buildup in a healthy manner. It becomes much harder as time goes on, even for professionals. The longer you wait, the more time and pain it will take to deal with the issue.
How Does Calculus Form?
A hardened calculus or tartar layer forms when the plaque buildup on your teeth is allowed to grow unchecked, resulting in multiple layers of plaque. When exposed to air, these layers bond and harden.
Compared to plaque, hardened calculus is challenging to clean. Dentists must use special tools and more invasive methods to adequately scrub it from your tooth enamel. Sometimes, calculus teeth damage is actually permanent. In cases like these, any attempt to clean off the tough layer can result in damage to your teeth and possibly gums.
While no one is completely safe from plaque and tartar buildup, smokers, drinkers, and nicotine pouch users are much more susceptible to calculus. Harmful chemicals in cigarettes and alcohol speed up the bacterial bonding and the hardening process. While brushing your teeth will help prevent calculus, regularly smoking and drinking will hurt your oral health, regardless of your brushing routine.
What’s the Difference Between Plaque and Calculus?
We know, it might be a bit confusing. Plaque and calculus, while related, are different diagnoses.
Plaque is the soft, thin, sticky, often off-white substance that forms on your teeth after eating. Think about a bagel with cream cheese. You take your last bite and wash it down with some water only to feel what you think is a thin layer of cream cheese on your teeth a couple of hours later. More likely than not, that’s plaque.
Brushing your teeth and flossing removes any temporary plaque buildup from eating throughout the day. However, calculus is a bit tougher to deal with.
Calculus occurs when there is excess plaque buildup on your teeth to the point where it hardens into a tough layer. You won’t notice calculus from one day to the other; it’s a slow and steady buildup that happens over a longer period. If you don’t take care of your plaque, eventually, it will turn into tartar.
How Long Does It Take for Plaque to Harden into Tartar?
Many people wonder, “How long does it take for plaque to harden?” The answer might surprise you.
While a true hardened layer of tartar will take longer to form, the transformation’s timeframe is way shorter than you might think. Dentists typically agree that it only takes between 24 and 72 hours for plaque to harden into a tougher tartar layer.
While this is an estimation, 72 hours gives plaque proteins plenty of time to develop the stronger bonds necessary to form calculus. However, quite a few factors, behavioral and medical, can speed up that process.
Smoking
Smoking is a big one. Tobacco products can speed up the hardening process significantly, decreasing the time it takes for plaque to form tartar. Whether it’s smoking or pouches, vapes or pipes. Tobacco and other nicotine products are detrimental to your oral health, especially when it comes to calculus buildup on teeth.
Drinking
Alcohol is another factor that can speed up the hardening process. It contains proteins that can bond to the other proteins in plaque and tartar. Red wine is especially harmful as it sticks to teeth more than white wine or spirits.
Teeth Alignment
Poor teeth alignment can also lead to tartar. Misaligned teeth can create hard-to-reach gaps where plaque buildup can go unchecked, leading to tartar. Flossing is key to preventing this from occurring, and braces are an exceptional long-term prevention option.
Dry Mouth
Dry mouth also creates an environment where plaque buildup can increase dramatically. Drinking water regularly can help wash down much of the bacteria in plaque, though not all. If you suffer from dry mouth caused by certain medications, consulting your dentist is key to determining the best course of action to prevent tartar buildup.
Calculus Bridge: A Closer Look
Now, let’s take a deep dive into calculus bridges. What they are, how they form, and the problems that can result from unchecked tartar buildup. Below, you’ll also find calculus bridge images that will give you some perspective on how these issues can present, and whether the problems you’re facing are calculus or something else. We’ll also include some pictures of calculus teeth before and after to demonstrate how these issues can progress rather quickly.
What Is a Calculus Bridge?
Extensive tartar buildup in your mouth can result in a deposit of hardened plaque that spans multiple teeth, called a calculus bridge. Plaque, that sticky substance we talked about earlier, mineralizes when it has prolonged exposure to saliva and air.
While a calculus bridge can be uncomfortable, many patients experience a lack of feeling on and around the buildup. You might have tartar buildup and not feel it at all. This is because the bridge itself is a growth on top of your teeth, not an actual part of your teeth or gums.
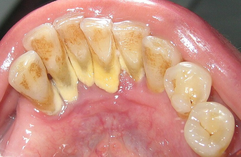
What Does a Calculus Bridge Look Like?
Patients with a calculus bridge will see a solid, off-white/yellow layer that often covers the gaps between their teeth. It often appears brown as well. A calculus bridge may even cover the gum line, extending above the teeth line in ways that can make your teeth appear misshapen or misaligned.
However, you may know a drastic color change as a calculus bridge grows and tartar buildup increases. While it can initially appear yellow, long-standing calculus bridges will often appear green, dark brown, or even black in more serious cases. This is due to an increased buildup of organic matter on top of the bridge layer. While food is a common factor, red wine, coffee, and tobacco are other triggers for teeth darkening.

What Problems Can a Calculus Bridge Cause?
A calculus bridge isn’t the only problem plaque and tartar buildup can lead to. In this section, we’ll take you through some of the more serious issues you may experience following the growth of plaque and the more serious calculus bridge.
Gingivitis
The earliest stage of gum disease is known as gingivitis. You may be experiencing gingivitis if you have sensitivity or inflammation in your gums. Plaque buildup is the leading cause of gingivitis. However, if you already have a calculus bridge formed, chances are that you also have gingivitis. Gingivitis can lead to bleeding, swelling, tender or sensitive gums, and halitosis. Subgingival calculus is another, less apparent issue that can occur when calculus forms under the gum line.
Periodontitis
As gingivitis progresses, it becomes a more serious condition known as periodontitis. Simply put, it’s an infection of the gums, damaging the soft tissue that lines your teeth and eventually destroying your mouth’s underlying bone structure. Periodontitis is irreversible but can be managed with long-term treatment from a dentist. If you’re experiencing plaque buildup, you need to get it treated as soon as possible to prevent a more serious condition like periodontitis from developing.
Tooth Decay/Mobility
Untreated plaque buildup will inevitably lead to tooth decay. This can include dark brown or black spots on teeth, as well as visible holes, tooth sensitivity, and lasting tooth pain. The acid-producing bacteria in tartar can eat away at your tooth enamel. While cavities are the most common symptom, periodontitis, bone loss, and even more serious conditions can occur as well. Tooth decay and bone loss can also lead to tooth mobility, meaning teeth that move. If your teeth start to move, you need to see a dentist immediately to treat the underlying issues causing the mobility.
Heart Disease and Stroke
If the bacteria from a calculus bridge is allowed to enter the bloodstream, either through tooth decay or bone loss, you may have a very serious situation on your hands. The bacteria can travel through your bloodstream, attaching to your arterial lining. This can cause chronic inflammation, drastically increasing the chance of a blood clot in your heart or brain. It needs to be said that a calculus bridge, if left untreated, can kill you.
Diabetes Complications
While a calculus bridge isn’t the direct cause of diabetes complications, issues such as periodontitis can make it much more difficult to manage blood glucose levels. Chronic inflammation disrupts the signals that insulin sends to your body, making it harder to measure how much insulin you need to balance your blood sugar.
Respiratory Infections
Serious calculus bridges are a hotbed for bacteria. When you breathe, especially while sleeping or snoring, bacteria from the bridge can enter your respiratory system. As bacteria procreate in your lungs, serious issues such as chronic respiratory infections or pneumonia can develop. It’s important to address oral bacterial growth as soon as you can to prevent more serious issues from developing.
What Causes Tartar Buildup on Teeth?
Dental calculus is caused by several factors, most importantly food. As we discussed earlier, the organic material in food creates a thin, sticky layer over your teeth. That layer becomes more consistent as the day goes on, forming plaque.
After 24 to 72 hours, plaque is exposed to salts in saliva, air, and more bacteria, solidifying into a layer of tartar. If you don’t regularly brush your teeth and floss, plaque will build in the cracks and crevices between teeth, especially when you already have cavities. A high-sugar diet will increase the rate at which plaque turns into tartar.
Plaque and tartar also occur after smoking and/or drinking. Doing either excessively exacerbates plaque buildup, leading to calculus quicker than eating alone. Smoking after eating, as many habitual smokers do, can also increase tartar growth rate.
How Do You Remove Tartar Buildup from Teeth?
Brushing and flossing won’t remove tartar. So you might wonder how to remove calculus from teeth, especially after you notice an issue. Once plaque hardens, a toothbrush isn’t enough to break the organic bonds forming between your teeth and the calculus layer. A calculus bridge is especially difficult to clean and remove once created.
At the end of the day, you’ll need to see a dentist to remove tartar buildup from your teeth. Trying to do so yourself will only result in damage to your tooth enamel or even the underlying bone structure.
How Do You Prevent Tartar Buildup on Teeth?
Preventing tartar buildup on teeth is as simple as establishing a regular brushing and flossing routine that you feel you can stick to. Missing even one day of brushing your teeth can result in plaque buildup. Miss a few days over time, you may have a calculus issue on your hands.
Another essential cornerstone to healthy teeth is regularly seeing a dentist or dental hygienist every six months for a routine cleaning and checkup. They can let you know of any problem areas and help you clean those hard-to-reach crevices in your mouth.
If you’re looking to have a teeth cleaning and determine if calculus is a problem for you, call Smiley Dental to schedule an appointment. One of our experienced hygienists takes a look and lets you know where you stand. Extreme calcium buildup on teeth is no joke, and you need to treat it seriously.
Smiley Dental: Your Partner in Oral Health
Dental health is physical health. Would you trust your physical health with anyone but the best?
Here at Smiley Dental, we offer some of the best community-focused dental care, dedicated to increasing your awareness of good dental hygiene and solving any problems you might have with your teeth and oral health.
We have several locations in Texas, including Dallas, San Antonio, Corpus Christi, Texarkana, and Greenville. If you’re experiencing dental calculus or simple plaque buildup, schedule your consultation with one of our friendly dentists today! Visit us at our website or give us a call at one of our offices across Texas now. We are here for you!
Customer Testimonials
The Texans that walk through our office doors are why we do it. Our dentists are passionate about solving your dental issues, big and small. Hear from some of our loyal patients about how Smiley Dental can help you and your family.
“Finally a Good Dentist! I finally found a dentist that cares about your teeth health and not taking advantage of our insurance. Super friendly staff, I also took my two year old twin boys and the doctor made them feel comfortable and honestly they left the office happy.”
– Judy A ⭐⭐⭐⭐⭐
“Dr Pham was brilliant and provided me with excellent care. Her staff is top-notch, professional, and highly skilled. Lynette took care of me during my visit. She is very polite and thorough. I highly recommend this office to anyone who needs great dental care.”
– Jacob G ⭐⭐⭐⭐⭐
“Dr. Wong is very knowledgeable, professional and passionate about his profession. He goes above and beyond to back up his work and cares about the patient’s oral health over dollar signs. I’ve moved to a different state, but I’m willing to make the long drive to come to this practice because I absolutely appreciate the entire staff.”
– Joanna M ⭐⭐⭐⭐⭐
“Knowledgeable dentist, gentle support staff, addressed all my concerns and the front staff was exceptional. Needless to say, I was very pleased.”
– Nancy G ⭐⭐⭐⭐⭐